

勇闯“禁区”!
——泸州市中医院再攀技术高峰,成功开展“剥蛋黄”手术
经肝脏正中裂将肝脏劈开,在布满粗大血管的肝脏背侧,将肿瘤从被血管包绕的肝脏尾状叶切除,并最大限度保留正常肝组织。该手术犹如“火中取栗”,要求手术医生必须有“庖丁解牛”般的精准,因此,该手术方式被东方肝胆医院的周伟平教授形象地称为“剥蛋黄”手术。由于手术部位的特殊性,尾状叶在很长一段时间都是肝脏外科中无人涉足的领域,因此,它又被称为“肝脏外科领域最后被攻克的禁区”。近日,泸州市中医院就是采用这种“剥蛋黄”的手术方式,攻克“禁区”,成功开展经肝中裂劈开全尾状叶切除术。目前,患者已康复出院。
检查:土豆大小的肝脏尾状叶巨型肿瘤,手术成唯一有效治疗方案
近日,泸州市中医院外二科收治了一名肝脏尾状叶巨大肿瘤患者。患者王先生是在医院健康管理中心做体检时发现肝脏占位。经介绍,他慕名找到了外二科主任胡伟。
通过CT、磁共振以及三维重建的图像来看,王先生的肿瘤位于肝脏尾状叶,除左侧可见少量肝组织以外,肿瘤已侵犯绝大部分的尾状叶!“跟土豆差不多大!”胡伟表示,王先生的肝脏肿瘤约有5*5*4㎝大小,手术切除对于他来说是目前唯一有效的治疗方案!
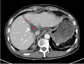
术前增强CT显示肿瘤位于肝脏尾状叶
手术:“火中取栗”,让多数医生望而却步
尾状叶位于肝脏的背侧被众多血管围成的狭小空间内。因其高风险性,很长一段时间尾状叶都是肝脏外科中无人涉足的领域。直至上个世纪90年代,随着对尾状叶解剖学认识的加深、影像学的发展以及肝脏外科整体水平的提高,有关尾状叶切除的报道才逐渐增加。但不可否认,肝尾状叶切除术尤其是巨大尾状叶肿瘤的切除,仍然是一风险性极高的手术,许多外科医生对这一部位的肿瘤还是望而却步!
“要完整切除,真有点‘火中取栗’的感觉!”胡伟介绍,对于巨大的肝尾状叶肿瘤,目前在专业领域内有两种手术方式:一种是联合左半肝、尾状叶切除。该手术风险相对较小,但会“牺牲”患者大块的正常肝组织,术后容易出现肝功能衰竭、顽固性腹水,严重影响患者生活质量甚至因急性肝功能衰竭导致患者死亡;另一种是经肝脏正中裂将肝脏劈开,在布满粗大血管的肝脏背侧行精准的包括肿瘤在内的全尾状叶切除。这种方式对病人来讲可以最大限度保留正常肝组织,减少肝衰竭的发生,是最佳手术方案。但是,因为尾状叶特殊的位置:周围重要的血管、胆管密布,特别是和手术部位关系密切的下腔静脉和两支主要肝静脉都是壁薄、腔大、血流汹涌,一旦损伤会因瞬间大出血和空气栓塞导致患者术中死亡。因此,该手术方式因为风险高、难度大,目前在国内开展并不广泛。同时,术前检查发现,王先生还患有乙肝“小三阳”,肝硬化等基础疾病,这无疑又增加了手术风险,加大了手术难度。

3D显示被血管包绕的肿瘤
精诚协作,巧“剥蛋黄”:攻破“禁区”,肿瘤成功摘除
面对挑战,胡伟团队联合医院麻醉科、超声科展开了精密的术前讨论并制定了周全的安全预案。术中,由麻醉科、超声科主任张运琼及李文强亲自上阵:张运琼凭借过硬的专业技术能力在保证血流动力学稳定的情况下将中心静脉压降低到1厘米水柱,有效地减少离断肝实质时候的出血,为手术医生提供了强有力的支持;李文强充当“导航员”,为患者进行术中彩超,把手术路径中有可能遇到的大血管标记出来,增加了手术的准确性和安全性。主刀医生小心翼翼地将整个肝脏完全从下腔静脉前面游离,沿肝脏的正中裂将肝脏劈成两半,在劈开肝脏的过程中耐心仔细地处理两个断面的各种管道,最后将血管缠绕的肿瘤和整个尾状叶像剥鸡蛋一样从肝脏的中心完整地切除。
胡伟(左一)为患者实施手术中
“手术很顺利,术中出血仅500毫升。”患者在重症监护室严密监护一天后转回普通病房,术后没有出现出血和胆漏等并发症,通过10多天的康复顺利出院。胡伟表示,精准和微创是21世纪外科发展的主题。科室始终贯穿这一理念,在追求彻底清除目标病灶的同时,确保剩余肝脏结构完整和功能性体积最大化,最大限度控制手术出血和全身创伤侵袭,最终实现让患者获益最大化。
精准、微创,最大限度的保留了正常肝组织(红色标记为肝脏劈开和肿瘤切除后的痕迹)
相关链接:十年磨一剑!泸州市中医院肝胆外科(外二科)医护团队在医院整体实力不断提升的大环境下,厚积薄发。通过近十年在学科建设和人才培养上不懈的努力,不断填补技术空白,现已形成肝胆胰疾病领域“从开放手术到腹腔镜微创手术、从各类穿刺技术到射频消融手术,同时联合院内其他专业团队的胆道内镜技术和肝胆胰血管介入手术”的完整治疗体系。能熟练完成各类开放或腔镜肝切除手术、复杂肝内外胆管结石手术、肝门部胆管癌根治术、胰十二指肠切除术、保留脾脏胰体尾切除术等肝胆胰高难度手术。
“你若信赖相托,我必竭尽全力”!泸州市中医院肝胆外科(外二科)愿用实力和技术为广大肝胆疾病患者的生命安全保驾护航。
文/李娟 图/外二科供图