

壮年男子罹患晚期肝癌伴乙肝、肝硬化,面临着肿瘤巨大剩余肝不足的困境,按传统方式已不能实施根治性切除,只能进行一般性的姑息治疗。最终,泸州市中医医院外二科肝胆外科医护团队联合麻醉、重症监护等兄弟科室采用目前国际上尖端的肝脏外科技术攻坚克难,采取“养大好肝、再切病肝”的分步手术方式,为患者实施了联合肝脏离断和门静脉结扎的二步肝切除术(简称ALPPS手术)成功切除右肝巨大恶性肿瘤,使其重获新生。
手术团队在术中
据悉,该术式是泸州地区成功开展的首例ALPPS,标志着泸州市中医医院在晚期肝癌治疗领域取得全新突破,为更多无法实施常规肿瘤切除术的肝癌患者带来了根治的希望。
噩耗!壮年男子查出晚期肝癌
现年40余岁的王先生,正值生命的黄金时期,是单位的骨干、家中的顶梁柱。
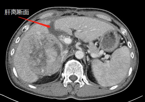
术前CT
近段时间,他因右上腹疼痛就诊于泸州市中医医院,在检查中发现右侧肝脏有一12公分左右的包块,初步考虑为恶性肿瘤,后收治入院。通过全面检查,诊断其为肝癌晚期,并伴有乙型肝炎、肝硬化等病症。
据泸州市中医医院副院长胡伟介绍,晚期肝癌的治疗方法有很多种,但现阶段最理想、最有效的治疗方法还是在实施肿瘤切除术后,进行后续的其它治疗。因此,实施手术切除是整个治疗过程能否取得成功的关键所在。
由于肝脏是维持人体正常生理机能不可或缺的重要器官,承担着机体的代谢、解毒、分泌和排泄胆汁等诸多功能,因此手术切除后必须剩余足够的肝脏体积并具备正常的功能才能够维持人体的正常运转;即如果是没有基础病变的病人切除后剩余肝的体积不小于标准肝体积的30%;如果有脂肪肝、肝硬化等基础病变的病人,剩余肝体积不小于标准肝体积的40%。一旦切除比例过大剩余肝体积过小,病人术后极易出现小肝综合症,导致肝功能衰竭,发生死亡。因此,目前常规的手术切除只适用于一部分早期肝癌病人,而大部分病人由于早期没有病征拖延至晚期,情况比较差,无法实施常规的切除手术。这也是当今制约肝脏晚期肿瘤治疗的难题!
“该患者入院后,通过肝脏CT,我们发现,由于其右肝肿瘤巨大,而正常的左肝体积比较小,手术预切除肝体积达70%以上,术后残肝体积仅28.3%,再加上该患者存在乙肝和肝硬化,剩余肝脏不足以维持他身体正常运转所需,不具备肝脏手术切除的基本要求。”胡伟表示。
转机!分步实施肝切除术
常规的肝切除术无法实施,该怎么办呢?
近年来医学界引入的“分阶段计划性肝切除术”,为解决这一难题提供了新的思路。
此术式正式名称为联合肝脏离断和门静脉结扎的二步肝切除术(ALPPS),手术的第一步首先结扎切除侧的门静脉并实施肝脏预切除面的离断,1~4周后待剩余肝脏增生到足够大的体积时再次手术彻底切除肿瘤。该手术于2012年在德国首创,2013年引入国内,复旦大学附属中山医院的周俭教授团队在国内率先开展此手术。由于其风险高、难度大,目前省内仅华西医院和省人民医院等少数单位开展,据公开资料显示泸州地区此前并无成功先例。
为了救治该患者,经胡伟率领的泸州市中医医院肝胆外科团队和麻醉、重症监护、肿瘤内科等科室进行了MDT讨论,对患者的病情进行全面评估,制定了详尽的预案,决定为其实施该手术。
术前,左肝体积很小
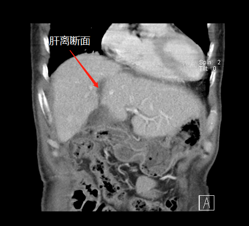
第一次术后,结扎门静脉劈开肝脏
左肝增生,第二次手术切除肿瘤
该手术主要分两个阶段进行——
“9月底,在第一阶段手术中,我们先将患者的右侧门静脉结扎(肝的血液供应通过门静脉和肝动脉进行),保留肝动脉、肝静脉和胆管的完整性,然后沿肝中裂将肝脏的左右叶彻底劈开。”据胡伟介绍,人体肝脏具有很强的再生功能,结扎门静脉右支后左侧肝脏由于过量的血液供应短期内迅速增大;同时将患者的左右肝脏离断,降低了肿瘤侵犯左侧肝脏的可能。
第一次手术后
经过20天左右的“养肝”,经CT复查显示,患者的左侧肝脏体积已增长至42.8%,这时候,也就达到了我们说的“养大好肝、再切病肝”,因为此时好肝已经足以维持患者身体的运转需要。
二次手术完整切除肿瘤
于是,专家团队便于10月中旬为患者实施了第二阶段肿瘤切除术,在此过程中,由于患者同时合并腹茧症,通过第一次手术的刺激腹腔内粘连非常严重,手术遭遇了巨大的困难,最后经过近7小时左右的艰苦奋战,攻坚克难,终于完整切除了患者右肝的巨大肿瘤,手术取得了成功,患者重获新生。
术后,患者经过10多天的恢复治疗,顺利康复出院。出院后,经科室多次电话回访,现患者身体状况和生活质量良好。
该手术的成功实施,标志着泸州市中医医院肝脏外科技术再上新台阶,为很多无法实施常规肿瘤切除术的肝癌病人带来了治愈的希望。同时医院的麻醉、重症监护、医学检验和影像等多学科团队齐头并进不断进取,持续提升专业技术能力,为本地区的人民群众提供更加优质的医疗服务。