

体重260斤左右的年轻男子在两年内疯狂减掉80多斤,只因他得了这个病。
不过,体重虽然减下来了,可病痛却仍然缠绕着他。到底怎么回事?
脚痛不是病?痛起来真要命!
现年35岁的江瀚(化名)是泸州某单位的一名职工。
两年前,他还是一个身高175CM、体重260斤左右的“巨人”。虽然体重超常增加,但身体部位并没有出现明显不适。不过,近两年开始,他出现行走后双脚后跟部疼痛。
“走久了或者走快了,踝关节部位就像被电触了一样,有种针刺的疼痛感,特别是在踮脚的时候更加明显。”江瀚介绍,2年来,在一些骨科医生的建议下他进行了泡脚、药敷等保守治疗。为了降低足部负重压力,甚至痛下决心,在两年内体重减掉了80多斤。不过,即使这样,他的疼痛症状却并没有明显改善,反而有加重的现象。
脚后跟痛,当心跟痛症
沮丧之余,江瀚打听到泸州市中医医院骨伤三科在治疗骨关节病方面很有一手,便抱着极大的希望,找到了该科科主任、主任中医师李彬为其进一步诊治。
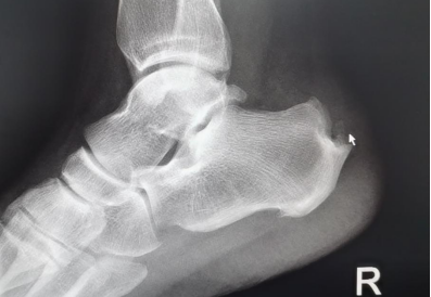
“经X光、磁共振等详细检查,提示患者双侧跟骨结节增生、跟腱有变性,双侧跟骨结节区域及跟腱止点表现:组织充血、水肿,结合病情及查体,考虑跟骨骨性突起畸形,经诊断,为Haglund综合症(止点性跟腱炎、跟骨后上突增生与跟腱滑囊炎的统称)。”李彬主任表示,该病症主要表现为跟腱止点部位疼痛不适,运动时疼痛加剧;或者清晨起床后出现疼痛,渐进性病程发展,后期疼痛加重,影响生活质量。
因患者曾多次保守治疗效果不理想,经科室团队讨论,决定为其实施关节镜下的跟痛症治疗,该技术目前在泸州地区市级公立医院领先。
5毫米切口,解决2年顽疾
考虑患者术后行动问题,8月18日,在李彬主任的带领下,手术团队首先为其治疗疼痛更甚的右脚。术中,仅开了两个很小(直径5毫米左右)的口子,在关节镜下磨除右侧跟骨后增生骨质,去除骨撞击,清理炎性组织,手术顺利完成。
术后,患者右足跟痛明显缓解,功能恢复良好,现已康复出院,目前在家进一步康复中。
江瀚说,以前因为脚后跟痛的原因,走路略有异常,或多或少对自己的终身大事有一定影响。现经过手术,右脚疼痛有一定改善,待彻底痊愈后,准备明年再对左脚进行手术。希望康复后能以更好的精神面貌去迎接未来的人生。
相关科普:跟痛症你知多少
跟痛症是以足跟部疼痛而命名的疾病,是指足跟部周围组织不同程度的慢性劳损所引起以疼痛及行走困难为主症状,常伴有跟骨结节部骨刺形成。
具体表现:1.脚后跟外观上可见少许凸起;2.局部有压痛;3.时有脚后部及底部疼痛发作,行走时或站立时疼痛。如果你或者你的家人有过类似的经历,那很可能就是这个病了。
发病原因:跟痛症并无特定发病对象,病因尚不十分清楚,但多发于肥胖者,运动量大、足跟有慢性损伤以及有先天性跟骨发育畸形的人。需要注意的是,不爱运动的人也常发生。
由于跟痛症易反复、间歇性的发作以及人们对其认知程度和疼痛的耐受程度不同,很多人在发病初期或轻中度时常常容易忽视,造成病情日渐加重,影响出行,生活质量下降。严重者甚至可能造成跟腱断裂,增加治疗费用及时间。
治疗手段:
对于跟痛症的治疗,目前保守的手段主要有口服药物、冲击波治疗、封闭治疗等,如在保守治疗效果不佳的情况下,可以考虑手术治疗。
相较于传统的开放性手术,泸州市中医医院当前开展的关节镜下跟痛症治疗术是一种极微创的手术,具有出血少、创伤小、术后关节功能康复快等优势。现已开展Haglund综合症和足底筋膜炎的关节镜下治疗术,丰富了跟痛症的治疗手段,为难治性跟痛症患者提供了更多的选择。
值得一提的是,相比于治疗,我们更注重日常预防,比如:穿合适的鞋子,减轻骨刺与鞋的接触,减轻疼痛;体型肥胖者应积极控制体重,减轻足跟负重;改变锻炼方式,如采取游泳等不需要足部负荷的健身方式代替日常锻炼。
文|李娟 赖谦