

“谢谢!谢谢!来之前我还以为这根脚趾要被锯掉,没想到能恢复得这么好,多亏了汪主任、安医生、卢医生,让我避免被截肢,我和家人都非常感谢泸州市中医医院骨伤一科帮我保住了完整双足……”
5个月前,55岁的“老糖友”赵阿姨因发生糖尿病并发症——糖尿病足病,左足第二趾发生感染伴局部坏死,面临截肢的风险,幸而经过泸州市中医医院骨伤一科全力救治,采用胫骨横向骨搬移技术,成功“救活”其局部坏死足趾。这一病例的成功,让更多糖尿病足患者看到了保肢的希望。
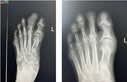
治疗前后对比
在11.14“世界防治糖尿病日”来临之际,我们来关注一下糖尿病患者的足部健康问题。
干活磨破足趾,逐渐溃烂
赵阿姨家住泸县太伏镇,已有10余年糖尿病史。
今年5月,赵阿姨在地里栽红苕时,左脚第二足趾被鞋子磨破,起了个水泡,并逐渐发生肿胀、溃烂,在当地治疗一个多月不见起色,后随着感染加重,第二脚趾已肿胀如大脚趾一般大小,甚至长度更甚,脚趾皮肤、肌肉、骨骼均出现了发黑、化脓、糜烂,导致下肢站立疼痛,行走时步态跛行。
“那段时间没太注意饮食结构平衡,导致血糖偏高。”赵阿姨说,其最高血糖值一度飚到了23mmol/L,远远大于正常参考血糖值,当务之急便是要降糖、治疗足部创伤。
为了更好地治疗,赵阿姨慕名来到泸州市中医医院,先在内分泌科进行了降糖治疗,经过一段时间的住院调理,将血糖值降到了10mmol/L左右,血糖相对稳定之后,便转到骨伤一科进一步治疗足部创伤。
拯救坏死足趾,避免截肢
在骨伤一科,赵阿姨被诊断为2型糖尿病足病、左足第二趾感染伴局部坏死,经常规抽血、伤肢DR、下肢血管彩超、双下肢CTA等检查发现,其坏死的足趾骨质已发生改变,远端血管部分闭合。
“按照糖尿病足的Wagner分级来看,该患者的足部损伤介于3-4级之间,仅次于最高5级的全足坏疽,一度面临截肢的风险。”据市中医院骨伤一科中西医结合主治医师卢炜松介绍。
“当时听说我这个脚趾可能被锯掉,想到自己的脚再也不完整了,我心里非常难受。”得知这一情况的赵阿姨心情异常沉重。
该患者才50多岁,截肢对其往后长期的生活将带来巨大影响;后期远端血管闭塞进一步加重,可能会从坏死的足趾部分往上截更多。更可怕的是,对于糖尿病患者来说,截肢就像多米诺骨牌一样,一旦开始截了第一次,往后便很容易再截二次、三次……直至下肢被截,临床上此类病例并不少见。
“考虑到患者偏年轻,经过评估其血管供血条件较好,正好我们在开展胫骨横向骨搬移技术,或可为其保肢带来希望,而其各方面条件比较符合。我们与患者耐心沟通之后,她从开始的犹豫不决到最终同意了手术治疗。”卢炜松表示。
今年7月,由骨伤一科主任汪永泉带领手术团队,为患者实施了左侧胫骨横向骨搬移术。术中,在其左侧小腿胫骨内侧进行截骨,置入4个针道,安装外固定架,手术历时1小时左右顺利完成。经过耐心指导外架调整,患者带着外固定架回家去休养。
手术中
3个多月后,赵阿姨回到医院来拆掉外架,经伤趾DR治疗前后对比显示,其左足第二趾血供明显改善,创面完全愈合,伤趾还长出了新指甲,与之前肿胀、糜烂的足趾判若两“趾”。

治疗前后DR对比
现在,赵阿姨的糖尿病足得到治愈,她也恢复了正常行走,她对治疗效果非常满意,激动地向医护人员连声道谢。
小腿截骨牵拉,修复足伤
那么,胫骨横向骨搬移术的原理是怎样的?它是如何实现在患者下肢胫骨部位截骨,却能修复远端足趾创伤呢?
胫骨横向骨搬移术源于俄罗斯医学专家 Ilizarov 提出的“张力﹣应力法则”以及自然重建再生理论,也就是说,通过胫骨皮质截骨、横向牵拉,产生一定张力,会使细胞的增殖和生物合成功能受到激发,调动机体的自身修复潜能,使骨骼及其附着的肌肉、筋膜、血管和神经同步生长,改善组织微循环,最终达到改善足部的血运、促进小腿及足部溃疡愈合的目的。
其具体做法是:通过在患肢胫骨上制造一处微小、可控的骨创伤,把骨块进行“搬家”,使用支架牵控,以每天1mm的速度连续牵控两周,然后再反向以每天1mm的速度将骨块恢复到原位。这种疗法可以使足部溃疡处重新获得血供,使感染得到控制、修复,从而解决糖尿病足缺血的根本问题,让患者免去截肢风险。
胫骨横向骨搬移术是世界公认的治疗糖尿病足的有效方法,主要适用于 Wagner 3 ~ 4 级糖尿病足(3 级为深度感染,侵及骨组织常有脓肿;4 级为溃疡侵及骨质引起骨及周围组织缺损,常伴有足趾坏疽),它是帮助部分糖尿病足患者保肢的一种很好的选择。治疗效果良好、手术操作简单、创伤小、术后病情改善明显,能够显著减轻患者的心理创伤和经济负担,提高患者的生活质量。
近年来,泸州市中医医院骨伤一科已成功开展多例胫骨横向骨搬移术,用于治疗糖尿病足,积累了丰富的诊疗经验,患者大部分均保肢成功。
重视足伤处理,正规就医
糖尿病足是糖尿病患者后期常见的并发症。世界卫生组织 WHO 对其定义为:糖尿病患者因各种不同程度的末梢血管病变和神经病变,导致下肢感染、溃疡和(或)深部组织破坏,且长时间不愈。通俗来讲,就是患者的血管、神经长期处在一个高血糖的环境中受到了损伤,当患者脚趾破了之后,血供不好等原因就使这个伤口不愈合,久而久之就发生感染、出现溃疡,甚至缺血坏死等等。
我国糖尿病患者高达1亿以上,其中12%—25%可并发足部溃疡,当肢体严重坏疽、坏死组织无法修复时,常不得不截肢以防止感染进一步扩散、挽救生命,非创伤性截肢中约有40%为糖尿病足所致,糖尿病足部溃疡患者死亡率为29%;4级以上,细菌感染而未行手术治疗的严重患者死亡率高达54%。
因此,糖尿病患者日常要注意控制好血糖,尽量避免足部受伤、感染,一旦出现间歇性跛行、关节变形、足部皮肤颜色变深等情况,需要引起足够重视,尽快到正规医院相关专科进行诊治。
骨伤一科重点专业技术:四肢创伤、小儿骨科、矫型。
科室技术力量雄厚,秉承泸州骨伤科手法复位,对四肢骨折复位等治疗有独创之处。科室在中西医结合治疗关节内骨折、小儿骨科、修复重建及四肢畸形矫形等方面优势明显。
科室还致力于现代化技术和中医特色的同步发展。近年来,骨伤、骨病的综合治疗技术走在泸州骨科界的前沿,为广大市民提供优质、满意的诊疗服务。
24小时服务电话:0830-3191008
(文/图 赖 谦 李春燕 林正宇)