

近日,我院成功应用切割球囊为一例冠脉内支架再狭窄的患者进行了冠脉内成形术,解除了患者胸闷胸痛症状。据了解,此项技术的开展在我市市属医院中尚属首次,该技术的开展为冠脉支架内再发狭窄的患者带来福音。
切割球囊
老人支架植入后再发心绞痛 冠脉内切割球囊成形术解决难题
70多岁的周阿姨两年前因为冠心病在外院行冠脉内支架植入术,术后症状缓解,出院后周阿姨一直坚持正规服药,症状控制良好。但就在2个多月前,周阿姨逐渐又出现了活动后胸闷胸痛的症状,在多家医院反复就诊仍未明确病因,患者症状仍反复发作。
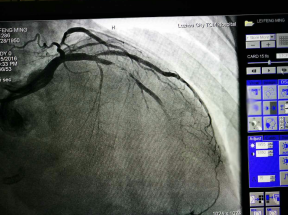
为求明确诊断及进一步治疗,周阿姨慕名来到了我院心血管内科住院诊治。经冠状动脉造影检查,发现原来植入的支架发生了99%的狭窄,即支架内再狭窄,这就是导致她目前再次出现活动后胸闷胸痛的根本原因。
应用切割球囊行冠脉内成形术是治疗支架内再狭窄的最有效方法之一,经过充分的准备,由国家卫计委心血管疾病介入诊治资质医师袁小蓉主刀,通过微创手术将切割球囊送入冠状动脉内,切割支架内再狭窄部位,再次成功地开通了周阿姨心脏血管,术后症状完全消失。目前周阿姨已经康复出院,随访情况良好。
术前
切割球囊为冠心病治疗提供新手段
袁小蓉介绍,冠脉支架内再狭窄是医疗界关注的难题,发生机理复杂,与很多因素有关,涉及到病人、病变、血管形态、支架类型、操作技术、术后用药等等。因个体而异,支架植入手术后的病人中有8%—10%会发生再狭窄,这是因为支架植入人体后,如果患者的基础病变,如糖尿病、高血脂、肾功能不全等没有被很好地控制,或没有按照医生的要求服用抗栓药物,支架植入部位的动脉内皮细胞、中膜的平滑肌细胞过度增生合并形成血栓,进而造成支架内的再狭窄,甚至闭塞。
术后
针对支架内再狭窄,切割球囊是一种比较安全、有效的方式。切割球囊是一种特殊的球囊,在球囊四周包裹有3~4片尖锐金属刀片。在球囊未到达病变之前,刀片被紧密地包绕在经过特殊折叠的球囊材料之内,不会损伤正常血管。到达病变位置后,切割球囊开始扩张,刀片逐渐露出于球囊表面,在高压下对病变血管进行切割。
这项技术在治疗冠状动脉病变中具有能以较低的压力获得充分扩张、对血管内膜不规则撕裂小、对血管损伤小、能减少反应性平滑肌细胞增殖和降低再狭窄发生率等优点,在临床应用中,主要适用于支架内再狭窄病变、开口病变、分叉病变、钙化病变等,在复杂冠脉病变处理中发挥着重要作用。
我院心血管内科成功开展了冠脉内切割球囊成形术,该技术对于冠脉支架内再狭窄的治疗效果明确并且安全可靠,该技术在我市的成功应用,给无数的冠心病患者带来了福音。
(文/李娟 酒城网.信周刊 赖谦)