

近日,在我院心血管内科病房内,70岁的患者张大爷康复出院,患者及家属握着医生的手连声道谢。谁能想到,这样一个思维清晰、开朗健谈的老人,10多天前还因为急性ST段抬高型心梗(急性心肌梗塞的一种)濒临死亡,在心脏导管室内进行争分夺秒的抢救呢!
突发胸痛3小时 70岁老人病情危急
家住江阳区的70岁老人张大爷,在不久前一个夜晚突然感觉心前区剧烈疼痛,全身直冒冷汗,脸色煞白,还出现了呕吐,持续三个小时后仍未缓解。觉得情况不妙的家人紧急将张大爷送到了我院进行救治。此时已是深夜11点20分。
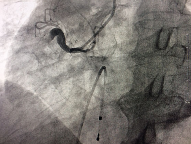
术前右冠动脉近段完全闭塞
入院时,病人出现了血压下降,心率减慢只有46次/分(一般正常人的心率为60—100次/分),并反复呕吐,病情非常危重。接诊张大爷的国家卫计委心血管疾病介入诊治资质医师袁小蓉立即对张大爷进行了查体和心电图检查,明确诊断为急性下壁、后壁ST段抬高型心肌梗塞,估计“罪犯血管”在右冠状动脉,血管堵塞之后,导致了三度房室传导阻滞(这是最严重的房室传导阻滞)和心源性休克,死亡风险极大。袁小蓉迅速将诊断结果和可能引发的后果告知了患者家属,并告知其现在最好的抢救办法就是马上做急诊冠状动脉介入治疗,否则随时会有生命危险,但手术存在一定的风险性。张大爷的子女虽然担心,但却表现得很镇静、果断,没有一丝犹豫,马上签字同意做手术。
深夜吹响救命“集结号” 术中成功处置多次室颤
此时已是深夜接近0:00,接到通知的医疗介入团队迅速在医院导管室集结,并以最快的速度将病人送到了手术台上,此时距病人入院仅40分钟。
手术台上,老人心率进行性下降到40次/分左右,病情极其危重。心内科介入手术团队迅速为患者植入心脏临时起搏器,在临时起搏器的保护下,医生从血管穿刺开始仅耗时15分钟就完成了冠脉造影术,但检查结果十分不乐观:右冠状动脉自近端完全闭塞,可见血栓影,袁小蓉立即采用特殊的药物替罗非班注射液10ml在冠脉内推注。在数分钟内,医生迅速、准确的为将导丝通过闭塞段,采用血栓抽吸导管进行血栓抽吸,植入支架,打通右冠状动脉血管,手术成功了!
手术的过程可谓是险象环生!手术台上,老人连续发生多次室颤(即心脏濒临停止跳动,可在一分钟内引发死亡),呕吐、意识出现丧失,如不采取急救措施可能会在几十秒内死亡,由于术前医生已考虑到术中病情的变化,提前做好了预案,因此每当老人发生室颤时,医生立刻迅速采用除颤仪为他进行电击除颤,就这样一次次将他从死亡的边缘拉了回来。
术后右冠动脉近端完全开通
支架植入成功后,老人的胸痛病状立即缓解,术后意识清醒,经过药物调养后,心率逐渐恢复正常,6天后下床活动。4天后,张大爷的身体得到了一定的恢复,又进行了另外一支重度狭窄血管(回旋支)的球囊扩张加支架植入术,手术过程很顺利,仅用时不到一小时。术后4天,老人康复出院。
提醒: 时间就是生命 持续胸痛半小时以上请及时就医
面对患者及家属的感谢,袁小蓉欣慰地表示,张大爷能够转危为安,不仅得益于心内科团队的快速反应能力和医院的高效抢救系统,也得益于在生死关头的那一瞬间,医患之间的相互信任、相互配合,最后才能够创造生命的奇迹。
袁小蓉提醒广大市民:对于急性发作的胸痛,如持续半小时以上,一定要及时就医,因为“时间就是生命、时间就是心肌,时间决定患者预后”,一旦拖延抢救时间,则很有可能造成严重后果甚至发生生命危险。
(文/李娟)