

在泸州纳溪区上马镇黄桷坝村,有一位58岁的董阿姨,她身材矮小,从小时候就出现了双下肢跛行的情况。岁月流转,这份不便非但没有减轻,反而随着年岁的增长而日益加重,双膝关节的疼痛与不适如影随形,让董阿姨的生活布满了阴霾。她曾四处求医,却始终未能找到解决这顽疾的良方,走到哪里都难免遭受他人异样的目光。然而,...
逢年过节,朋友聚会,大家往往喜欢喝一点,有些人饮酒后面不改色,谈笑风生;但有些人满脸通红,萎靡不振,这到底是为什么呢?其实已经有大量的研究证实这与人体内的ALDH2基因密不可分。首先,我们来了解一下酒精在人体内是如何被处理的。当你饮酒后,体内的乙醇(酒精的主要成分)首先被一种叫做乙醇脱氢酶的物质转化...
“手术”是大家耳熟能详的一件事,随着外科手术技术的发展,越来越多的疾病可以通过手术的方式得到解决,这也导致手术量的激增,同时一个问题也随之而来,那就是“同一日手术病人如何合理安排手术顺序?”,其实手术顺序的安排也遵循一定的科学依据,并非大家认知里说的先来先得、谁有关系谁先做等,下面让我们一起来看看具...
左心耳是什么?左心耳是心脏的“小耳朵”,为左心房在妊娠早期胚芽发育的残余物,在形态上为狭长、弯曲的管状盲端结构。大部分人的心耳存在两个或两个以上的心耳叶,并且梳状肌及肌小梁丰富,小梁间有缝隙凹凸不平,是房颤患者血栓形成的常见部位。左心耳血栓是怎样形的?有哪些危害?房颤时,左心耳入口增宽且失去有效的规...
家人们啊你们在门诊排队就诊时是不是遇到过以下问题“我都签到个多小时了,怎么还不喊我”“明明我先签到,为什么他刚到就能看”……首先我们要明白来院就诊的基本流程先挂号/取号↓诊室门口签到屏签到导诊台签到(身份证、挂号单、微信挂号条码)↓等候呼叫就诊↓就诊1.不签到,永远叫不到号,挂号后来医院第一件...
10月28日至10月29日上午,受国家中医药管理局委托,中国医师协会委派评估专家组一行7人莅临泸州市中医院,对医院中医医师规范化培训工作开展现场评估。医院全体领导班子成员、各职能科室主任、各临床科室负责人以及教学主任、教学秘书参加了评估工作汇报会,泸州市卫生健康委党组成员、副主任龙维平出席会议。(汇...
“体医融合 战胜卒中”——我院将开展第19个“世界卒中日”义诊活动卒中民间俗称“中风”,具有高复发率、高致残率、高死亡率的特点,是中国居民死亡原因中的首位。卒中发生后每分钟约有190万个脑细胞死亡,因此早期识别卒中症状,及时来院接受规范治疗显得尤为重要。2024年10月29日是第19个“世界...
随着近两年“中式养生”风潮兴起,人们的养生爱好已经提前觉醒。茯苓是一种药食同源的中药材,药性平和、物美价廉,被誉为“四时神药”,始载于1700多年前的《神农本草经》,列为上品。古人以慧眼识珠,见茯苓依附于古松之根,便遐想其为松树之灵气凝聚,赐名“茯灵”(即茯苓)、松腴,寓意其非凡之质。茯苓不仅承载着...
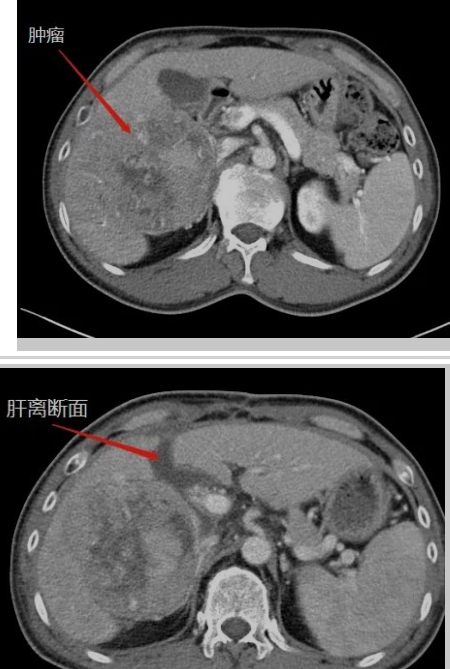
在生命的长河中,每个人都在与时间赛跑,与命运抗争。而对王晚期肝癌患者来说,这场赛跑尤为艰难,这场抗争格外惊心动魄。还记得四年半以前,当40多岁的王先生被确诊为晚期肝癌伴乙肝、肝硬化时,绝望的阴霾笼罩着整个家庭。对王先生来说,那是一段黑暗的日子,对未来的恐惧,对生命的不舍,尤其对年幼的孩子的不舍,让他...
从2004年开始,国际疼痛学会确定每年10月的第三个星期一被定为世界镇痛日,这一周被定为中国镇痛周。2024年为世界抗痛年。今年抗痛主题为:“关注疼痛的性别差异”。本周四(10月24日)上午,我院疼痛科联合针灸康复科、消化内科、胃肠外科等科室的专家,携手为市民朋友们提供义诊服务。活动期间,医疗团队为...