

冬季是各类疾病的好发之时,而“三九”又是一年中最冷的时候,此时人体阳气敛藏,气血不畅,皮肤干燥,毛孔闭塞....按照中医“秋冬养阴,夏病冬治”的理论,12月21日,市中医院治未病科一年一度的“三九灸”活动正式开灸。据了解,“三九灸”又名自灸、冷灸,也称“药物发泡”或“...
“中医药学是中国古代科学的瑰宝,也是打开中华文明宝库的钥匙。” 2015年12月22日,国家主席习近平在致信祝贺中国中医科学院成立60周年中说到,要切实把中医药这一祖先留给我们的宝贵财富继承好、发展好、利用好,在建设健康中国、实现中国梦的伟大征程中谱写新的篇章。为传承和弘扬中医药文化,12月28日,...
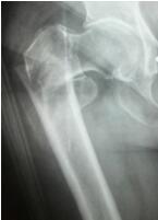
随着我国人口老龄化加重,老年髋部骨折的病人也在逐年增加。据了解,高龄髋部骨折具有并发症多、死亡率高的特点,国际上对于高龄老人髋部骨折治疗方式首选手术治疗,并且要求手术在伤后48小时内完成,越快越好。泸州市中医院通过多科协作,为髋部骨折的老年患者开启快速就医、快速检查、快速手术、快速康复的绿色通道,成...
12月15日,市中医院内五科举办科室第三届病友迎春茶话会活动。到场的病友们,有的是老面孔,有的是新面孔,他们相聚在一起,共享快乐,同担忧愁,纷纷讲述着自己的抗癌历程……活动现场市中医院内五科医生张彬为联谊会致辞市中医院内五科主任张帆介绍一年来医院及科室的发展一面特殊的锦旗活动现场,市中医院收到了一面...
中医病案的建设与管理,是中医医疗机构医疗质量管理的重要组成部分,是规范临床医务人员诊疗行为、衡量医疗质量管理的重要依据之一。为规范中医病历书写,加强医疗质量管理与控制能力的建设,提高病案管理质量,保障医疗质量和安全,减少病历存在的缺陷,12月15日,由市中医院主办的省级继续教育项目——全市中医病案管...
为了给本地区医务工作者搭建一个学习交流的平台,提高本地区基层医疗单位急性缺血性脑卒中(AIS)中西医结合的救治水平,12月13日,由市中医院主办的省级继续医学教育项目——《急性缺血性脑卒中(AIS)中西医结合治疗》在医院学术报告厅举行。来自各基层医疗机构的近200名相关医务人员参加了学习。市中医院纪...
近日,市委组织部公布了泸州市第十三届党员干部现代远程教育教学课件暨第二十三届党员教育电视片观摩交流活动评比结果,市中医院参评作品《无影灯下的英雄》获微视频类市级部门一等奖。 据了解,本届参评作品共有126部,围绕习近平新时代中国特色社会主义思想和党的十九大精神,共评选出典型事迹片、纪录片、培训片...
12月8日,天气预报显示当天气温6℃,体感温度只有4℃。然而,早上8点不到,在我院杨光教授中医眼科工作室门口已经挤满了人,他们正等待着接受杨光教授的治疗。为充分发挥中医药优势,我院特请聘天津眼科名医杨光教授在每个月的第二个周六来泸坐诊。8日是杨光教授来泸坐诊的首个诊疗日。71岁的马智远因患青光眼、...