

大家好!今天小编接到了BOSS的灵魂拷问!泸州市中医院已走过60年风风雨雨从1959年蹒跚学步的“中医属性幼儿”成长为一位杏林春暖的“中医长者”!集“国家三级甲等中医医院”“国家重点中医医院建设单位”“国家级胸痛中心”“国家中医药管理局中医住院医师规范化培训基地&rd...
众所周知,在各大医院,完完全全针对女性同胞们的科室只有妇产科,在这里,女性的病痛被治愈,家庭的血脉被延续。泸州市中医院是省级爱婴医院。医院妇产科拥有专业技术人员34人,其中高级职称6人,中级职称12人。科室在学科带头人罗玉辉、陈体辉带领下,已形成以妇科肿瘤、妇女保健、宫腹腔镜、计划生育、围产医学等为...
“哇,快看!装起路灯了!”,7月29日,叙永县观兴镇骑龙村乡村道路上,一群结伴路过的村里娃“咯咯咯”地笑!【18公里“黑路”】骑龙村是镇上较为偏僻的一个村庄,距镇政府所在地10公里、县城62公里,是叙永县重点贫困村之一。目前,村上适龄适学学生共计200余人,其中约138人在观兴镇小学、坝上小学、观兴...
为有效缓解群众看病难问题,方便广大患者来院就医,提升患者就医体验,8月5日起,泸州市中医院将调整门诊时间。请大家把小本本拿出来记好哦!文/姜莎莎
勇闯“禁区”!——泸州市中医院再攀技术高峰,成功开展“剥蛋黄”手术经肝脏正中裂将肝脏劈开,在布满粗大血管的肝脏背侧,将肿瘤从被血管包绕的肝脏尾状叶切除,并最大限度保留正常肝组织。该手术犹如“火中取栗”,要求手术医生必须有“庖丁解牛”般的精准,因此,该手术方式被东方肝胆医院的周伟平...
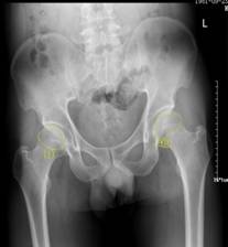
新技术:泸州市中医院成功开展富血小板血浆(PRP)术——早期股骨头坏死患者福音股骨头坏死是一种原因不明的常见骨科疾病,根据不同的发病程度和部位分区有不同的治疗方法。近日,泸州市中医院成功开展的富血小板血浆微创手术(简称:PRP)为早期股骨头坏死患者带来福音,同时也为保髋治疗增添了新的治疗方法。诊断:...
开通高龄骨科手术绿色通道三年——泸州市中医院屡创新高,为102岁高龄患者成功实施髋关节置换术出院前,笔者在病房见到了102岁的高龄患者金婆婆。见到她时,她正坐在床边吃早饭。“已经吃了有大半碗了!”老太太的孙媳妇郑女士一边喂老太太吃早饭,一边高兴地向笔者介绍老太太的精神状况。“恢复得很不错,她已经可以...
高原承使命 雪域写担当——记泸州市中医院援藏干部彭晓容“五十六个名族、五十六支花,五十六个民族是一家。”2018年9月,泸州市中医院骨伤三科护士长、主管护师彭晓容积极相应省委、市委号召,饱含藏汉一家亲的情谊,踏上海拔3700米的甘孜州稻城县,开展为期两年的对口援建帮扶工作。彭晓容讲政治、牢记使命、攻...
端午佳节,您备好香囊了吗?——端午节和香囊更配哦俗话说:“戴个香草袋,不怕五虫害”。端午佳节,民间除有吃粽子赛龙舟插菖蒲外,还有一项重要的习俗——佩香囊。早在战国时期,楚国诗人屈原就在《离骚》中吟诵道:“扈江离与辟芷兮,纫秋兰以为佩”。江离、辟芷、秋兰均为香草。纫,乃连缀之意。佩即佩帏,在这里既指香...
每个人从哇哇坠地的那一刻起,就在和护士打交道。提到护士,她们在你心目中是什么印象呢?燕尾帽?带着口罩和看不清的脸?粉色护士服?5月10日,在泸州市中医院开展的纪念“5.12”国际护士节系列专场之才艺比拼专场上,护士姐姐们脱下护士服,趣味折纸、艺术插花、制作缤纷水果拼盘,个个都展现出了十八般武艺。毫不...