

2017年3月3日下午,我院在门诊11楼学术厅召开“2016年度表彰大会暨2017年开年工作会”,我院领导、全体中干、党员、副高职称以上人员及优秀个人获奖者出席会议,会议由我院副院长吴智惠主持。 会上,我院党委副书记王万芳宣读了《中共泸州市中医医院委员会关于表彰2016年度先进科室、优秀中层...
为进一步营造医院浓厚的学术氛围,激发科研热情,切实提高医院专业技术人员的学术水平,2017年2月23日下午,我院在门诊11楼学术厅举行“第五届学术月开幕式暨新技术交流专场”,医院领导、全院中干,临床科室及职能科室相关人员参加并聆听了讲座。我院党委书记、院长郑海三在开幕式上致辞,郑院长强调...
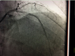
近日,我院成功应用切割球囊为一例冠脉内支架再狭窄的患者进行了冠脉内成形术,解除了患者胸闷胸痛症状。据了解,此项技术的开展在我市市属医院中尚属首次,该技术的开展为冠脉支架内再发狭窄的患者带来福音。 切割球囊 老人支架植入后再发心绞痛 冠脉内切割球囊成形术解决难题70多岁的周阿姨两年前因...
我院成功开展市属医院首例冠状动脉内膜旋磨术 在心脏血管内开“隧道”,用高速旋转的钻石磨头将堵塞心脏血管的钙化斑块磨碎,以此打通血管进行冠心病的介入治疗,这看起来像科幻电影里的场面,在我院实现。近日,我院完成了全市市属医院首例冠状动脉内膜旋磨手术,成功开通了血管,解除了患者长期存在的胸闷...
记省首届优秀中医临床人才、我院肾病、血液科主任仇燚 中医是我国传统文化的瑰宝,经过数千年的传承得以延续,为中华民族的繁衍昌盛发挥了重要作用。时至今日,随着西医的传入和扩大,中医受到巨大的冲击。为了捍卫国医的地位,弘扬中医传统文化,不少“中医人”矢志于“复兴中医”的荆棘之路,我院肾病、血液科主任,副主...
除夕之夜,灯火璀璨,酒城处处洋溢着喜庆热闹的气氛。在这个特殊的节日里,我院的职工依然坚守岗位,为了让患者及家属能过上一个欢乐祥和的新春佳节,他们在自己的岗位上默默地工作着,不能和家人吃上团年饭。1月27日(大年三十)晚7点,医院副院长巫骏川、党委副书记王万芳、纪委书记何启红代表医院党政领导班子率职能...
2017年1月26日(腊月二十九)上午,我院副院长巫骏川、党委副书记王万芳代表医院党政领导班子率职能科室相关负责人为春节期间将坚守岗位的职工送上慰问品,为援外医生的家属送上慰问金,并致以节日的问候和新春的祝福。 “新年好!大家辛苦了!给大家拜个早年!”院领导每到一处,都和科室职工亲切握手、交谈,代表...
1月20日是“120宣传日”,为进一步提高“12O”医疗急救知识的知晓率,充分发挥现有急救资源的能动性,更好地为市民提供优质的医疗急救服务,当天上午,我院急诊科围绕“珍惜急救资源 合理拨打120”的主题,在医院门诊大楼处开展了“120医疗急救宣传日”活动。 活动现场 急诊科副护士长韦汉樱为市民讲解急...
为了大力发扬“人道、博爱、奉献”的红十字精神,我院于2017年1月23日下午组织开展了一场无偿献血活动,此次活动得到了全院职工的积极响应。 活动现场,参与献血的职工们配合着工作人员完成填写表格、验血等献血前的准备工作,这其中有医生、护士、后勤工作人员等。大家都认为无偿献血是一项非常有意义的活...